دنبالچه ساختاری استخوانی در انتهای ستون فقرات می باشد که محل اتصال رباطها و عضلات کف لگنی می باشد اگرچه که به ظاهر ممکن است اهمیت خاصی در ناحیه ستون فقرات نداشته باشد ولی درد های آن می تواند مزمن شده و زندگی بیماران را دچار اختلال نماید. در این مقاله با انواع علل و عوامل درد در ناحیه دنبالچه آشنا شده و در در ادامه به روش های درمانی خواهیم پرداخت.

درد دنبالچه درد مشخصی اطراف استخوان دنبالچه یا کوکسیس میباشد که در مواردی مانند ضربه و افتادن روی باسن و دنبالچه ، طولانی مدت نشستن ، سطوح سفت و نامناسب و زایمان طبیعی می تواند ایجاد شود. نام دیگر درد دنبالچه کوکسیدینیا coccydynia می باشد.


استخوان دنبالچه یا کوکسیس از واژه یونانی coccyx برگرفته شده است. این استخوان همانطور که در شکل زیر ملاحظه می کنید ترکیبی از اتصال چهار استخوان است که در دوران جنینی به هم اتصال پیدا می کنند و ساختار واحدی به نام استخوان دنبالچه یا کوکسیس را ایجاد می نمایند.




همانطور که در پاراگراف های قبلی ذکر گردید علت های درد دنبالچه می تواند شامل موارد زیر باشد:

بیماری های تخریبی مانند آرتروز در مفاصل می توانند سبب ایجاد درد دنبالچه شوند.
حالت های بدنی به خصوص از سفرهای طولانی مدت می تواند سبب دردهای دنبالچه شود همچنین و حرکتهای آسیبرسان که تکرار شونده هستند یا به عبارت دیگر repetitive strain injury (RSI) می توانند سبب ایجاد دردهای دنبالچه شوند.
اضافه وزن می تواند سبب ایجاد فشار اضافه در ناحیه دنبالچه شما شود به خصوص در زمانی که نشسته و حالت لمیده هستید.
کاهش وزن می تواند به علت ناکامل بودن ضربه گیری در عضلات ناحیه باسنی سبب ایجاد درد دنبالچه شما شود.
هر نوع تروما آبسه و کنسر میتواند سبب ایجاد دردهای ناحیه دنبالچه شود.
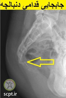
در مواردی که علت ایجاد درد دنبالچه ضربه می باشد ممکن است که این ضربه منجر به درد مزمن در ناحیه دنبالچه شود. ضربات وارده به دنبالچه به دو دسته ضربات بدون جابجایی دنبالچه و ضربات با جابجایی دنبالچه تقسیم بندی می شوند.
در مواردی که ضربه شدت کمی داشته باشد جابجایی در دنبالچه انجام نمی شود و می تواند زودتر درمان شود و ممکن است عوارض آن نیز کمتر باشد.

ضرباتی که میتوانند سبب جابجایی استخوان دنبالچه و استخوان ساکروم شوند میتوانند منجر به درد در ناحیه دنبالچه و اطراف آن شوند عمده دردها که منجر به شکستگی نمیشوند مرتبط با دردهای لیگامان ها ( رباط ) ی متصل کننده دنبالچه و ساکروم می باشند که در شکل های زیر ملاحظه می نمایید.
همانطور که در شکل زیر به رنگ سبز ملاحظه می کنید اتصال این رباط از توبروزیته ایسکیوم استخوان امتداد یافته و با اتصال به استخوان ساکروم و بخش خلفی ایلیوم نقش نگهدارندگی در ساکروم و دنبالچه را ایفا میکند در ضربات به دنبالچه این رباط می تواند دردناک شود.

همانطور که در شکل زیر ملاحظه می نمایید این رباط از اسپاینوس پروسس استخوان ایلیوم امتداد یافته و به استخوان ساکروم و تا حدی دنبالچه اتصال دارد در مواردی که این رباط در آسیب هایی مانند تروما و یا زایمان طبیعی دچار کشیدگی شود می تواند سبب ایجاد درد در ناحیه دنبالچه نیز شود.

درد دنبالچه میتواند به صورت خاص در فعالیتهای مانند بلند شدن از حالت نشسته و یا ایستادن طولانی مدت به صورت تیز و تیر کشنده نیز باشد هرچند که در موارد خفیف تر ممکن است به صورت درد مبهم در ناحیه لگن نیز احساس شود گاهی اوقات دردهای دنبالچه می تواند به علت درگیری در رباط هایی که در پاراگراف قبلی توضیح داده شد به صورت یکطرفه نیز احساس شود.

ریسک فاکتورها یا عوامل خطر ساز ایجاد درد دنبالچه در پاراگراف های قبلی توضیح داده شده است. به طور کلی موارد زیر میتوانند زمینهساز ایجاد درد دنبالچه شوند
درمان درد دنبالچه میتواند از موارد اولیه مانند پیشگیری را شامل شود در مواردی که درد دنبالچه به صورت پایدار ایجاد شده باشد توصیه میشود که علیرغم موارد پیشگیری کننده در دنبالچه درمانهای ساده تر را انجام دهند برخی از درمان های ساده دنبالچه در موارد زیر ذکر شده است.


برخی موارد ممکن است علیرغم درمان های خانگی درد دنبالچه این درد قابل درمان نباشد در این گونه موارد توصیه به درمان های کلینیکی مانند فیزیوتراپی در درد دنبالچه می شود برخی از روش های فیزیوتراپی در کلینیک فیزیوتراپی شریعتی شامل موارد زیر است

ممکن است در برخی موارد تزریق موضعی در ناحیه استخوان دنبالچه و بافتهای اطراف آن برای کاهش دردها و التهاب و انجام شود که توسط متخصص مربوطه انجام می شود.

برخی از گیاهان دارویی و موادی که میتواند به کاهش دردهای ناحیه دنبالچه کمک کنند از طریق پماد قابل استفاده اند. در این گونه موارد با گرم کردن موضع و ماساژ ناحیه با این پماد ها می توان در درمان درد دنبالچه اقدام نمود. برخی از پماد ها مانند سالیسیلات پیروکسیکام و دیکلوفناک و رزماری میتوانند بسیار کمک کننده باشند.

در مواردی که درد دنبالچه توسط موارد غیر جراحی درمان پذیر نباشد و یا جابجایی آن به قدری باشد که درمان غیر جراحی نتیجه بخش نباشد و همچنین در برخی افراد که دنبالچه های بزرگتری دارند ممکن است جراح نظر برداشتن دنبالچه (Coccygectomy) داشته باشد. البته میتواند عوارض دیگری نیز همراه این درمان برای بیمار وجود داشته باشد.

پاسخ
بسته به شرایط آسیب می تواند دردهای دنبالچه از چند روز ، چند هفته تا چند ماه و حتی بیشتر نیز ممکن است طول بکشد.
پاسخ
نشستن های بد بدنی و طولانی مدت به خصوص زمانی که شما به پشت تکیه داده اید می تواند در حالت دراز مدت سبب ایجاد درد دنبالچه شود.


پاسخ
پاسخ
به طور کلی سه دسته دردهای ایجاد ای در دنبالچه تقسیمبندی میشوند
پاسخ
پاسخ
یکی از توصیه های بسیار مهم برای کاهش دردها و پرهیز از نشستن های طولانی مدت است. همچنین اگر قرار است بنشینید حتماً به سمت جلو مقداری خم شوید به نحوی که فشار روی ناحیه دنبالچه وارد نشود.
همچنین در برخی موارد می توان از داروهایی مانند استامینوفن و ایبوپروفن یا آسپرین استفاده کنید.
پاسخ
در موارد زیر لازم است نسبت به مراجعه هرچه سریعتر به پزشک خود اقدام کنید
پاسخ
ایستادن و راه رفتن می تواند به کاهش دردهای ناحیه دنبالچه شما کمک کند ولی به شرطی که در حین راه رفتن و پس از آن احساس انتشار درد در اندام ها را نداشته باشید.
پاسخ
برخی از علائم تومور در ناحیه دنبالچه می تواند شامل موارد زیر باشد
پاسخ
۵ عامل می تواند سبب ایجاد درد دنبالچه شود
پاسخ
شما می توانید از طریق لینک زیر با ورز ش های مناسب برای درمان درد دنبالچه آشنا شوید
تهران ، خیابان شریعتی ، ضلع شمال غرب پل سید خندان ساختمان فوق تخصصی پزشکان 1006 همکف فیزیوتراپی مرکزی شریعتی ( خندان )
بهترین مسیر به فیزیوتراپی شریعتی